建议您可点选此连结至YouTube并以全屏幕观赏 (字幕为中文&英文双语)
资讯专区 / 案例分享
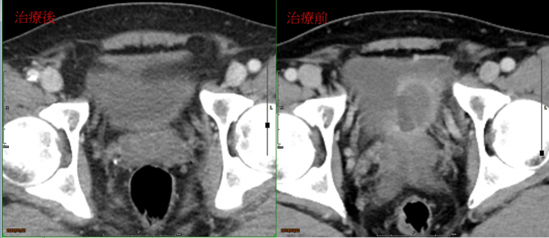
W先生于108年在高雄某大医院确诊膀胱癌cT4aN0M0,并于同年三月开始陆续接受膀胱肿瘤刮除手术及四次全身静脉化学药物合并免疫标靶治疗( Cisplatin, Gemzar and Durvalumab)后。经过核磁共振检查后,医师告知肿瘤大小无明显改变并已有明显的肾脏输尿管水肿无法以双J导管来改善症状,所以医师建议病人膀胱全摘除手术并人工膀胱造口,当下患者及家属是非常无法接受此结果的。经由朋友介绍来咨询本诊所,医师评估肿瘤仅局限原发部位及尚未全身转移之膀胱癌,建议病人接受局部动脉化学药物治疗。此治疗是藉由埋设动脉导管,将化疗药物直接送至供应肿瘤血流之动脉,到达并集中于肿瘤部位,治疗效果特别显著,也能减少其他重要器官曝露在化疗药物的机会,当然产生的副作用也比全身性静脉化学治疗来的轻微。
病人经思考后拒绝接受原本的手术建议,改采取本诊所医师建议的局部动脉化疗治疗。在3个月经过治疗六次动脉化疗后,复检核磁共振指出原部位膀胱肿瘤消失、膀胱镜也无任何异样。

Case 1

Case 2

Case 3
Case 5
Case 6
即使是末期口腔癌,也不要轻言放弃治疗
李先生于一年多前发现右唇冒出肿块,因为曾经看过罹患口腔癌的友人,接受医院治疗以开刀切除患处,开刀后外观改变、机能丧失,影响甚大,让李先生心生抗拒,害怕就医。肿瘤就像是一颗不定时炸弹,影响着李先生一年多来的心情。原本开朗的个性,变得封闭消极,不喜欢出门,家人劝说也没有用,只能看着李先生变得越来越消沉。而后,左边口腔也长出肿瘤,严重到出血、脸颊穿透性溃疡,产生异味。李先生随时随地都得戴着口罩、忍受不适。
眼看状况越来越糟,李先生原本已做最坏打算;而就在某天,滑手机时,突然想到过去曾听闻过口腔癌不动刀的治疗方式,于是抱着好奇心态,上网搜寻到诊所信息,找到关于「动脉灌注化学疗法」的介绍。李先生燃起一线希望,决定为了家人,要给自己一次机会,于是与太太不远千里的从台东搭火车前来诊所咨询。
李先生被诊断为口腔癌四期,接受「动脉灌注化学疗法」后,肿瘤在短期内就明显变小,疼痛状况及异味也获得改善,治疗期间患处也持续缩小,李先生再也不用自卑的戴着口罩。
刚开始治疗时,李太太不放心他独自前来,放下工作陪同。经过几次治疗后,发现「动脉灌注化学疗法」副作用轻微,几乎不影响李先生的身体机能,因此后来都由李先生独自搭火车前来治疗,治疗期间每天往返高雄台东,而李太太则可以放心地去忙碌工作。因初期需要较密集的治疗,李先生居住在台东距离较远,故选择先留职停薪投入疗程。随着治疗进展,患处状况越来越稳定,疗程频率减少,李先生在治疗两个月后,顺利返回职场;治疗约三个月后肿瘤也完全消失。
如今,李先生虽然还在接受追踪治疗中,但其生活几乎不受影响,工作得以同时兼顾。一扫过去一年多来被肿瘤影响的阴霾,李先生更有自信面对人群,对未来怀抱希望。家人看着李先生的改变,感到很欣慰。
即使是末期的口腔癌,也不要轻言放弃治疗的机会,吴志峰医师表示根据三十年的临床经验且有多篇发表在国际期刊的论文左证。认为局部动脉化学治疗在口腔癌的疾病控制有显著的效果。所以动脉灌注化学疗法也可以提供口腔癌治疗选项之一。


治疗前: 双侧颊黏膜口腔癌合并颜面及嘴角侵犯。

治疗后: 动脉局部化学治疗约三个月后肿瘤,肉眼已看不见。
去年(2020)年的母亲节,在爸爸病前最后一次在鼎泰聚餐,之后爸爸发现了嘴巴开始破洞一直无法愈合,他先看了牙医,牙医师说,应该是牙齿磨到嘴巴造成的,但1-2个月后破洞并没有愈合或缩小,后来去了耳鼻喉科,医生直接开转诊单,请爸爸去台大就医,爸爸并没有去就酱,他去检验所化验(结果并未告知家人),就在一次听到电视还是电台广告,他自己决心到中医诊所就医,中医师跟他保证3个月内一定让他好起,但这肿瘤并没有因为他看中医转好,反而越肿越大,我先生劝他是否让西医看看,或是做断层扫描,就在这时,他似乎感觉肿瘤稍微有好些(我觉得是假象),他听不进任何人给的意见,执意还是要给中医师看,中医师给的中药,改了又改换了又换,肿瘤只有越来越大,我们看他的身体越来越瘦,固体的食物越吃越少,能吃的东西也越来越少,但他还是坚信中医师的话·(其中我们还求神问佛,希望他能
觉悟去看西医)就在今年初,也曾有同样的病症(口腔癌)的客户亲戚·他介绍了雅斯翠诊所给我先生,我们找了很多诊所的数据和许多病例的图片给爸爸看,这时爸爸几乎无法进食,只能喝流质的东西,我们心急如焚·再下去可能连喝水都问题。(其实爸爸害怕就医的原因是传统的治疗就是必须用外科手术全部切除).
接下来我们开始着手和诊所联络,台北诊所的护理长很耐心的跟先生解说治疗的流程,Maggie 护理师就开始帮我们安排一切的检查流程·医生尽速的安排我们到高雄开了动脉导管植入手术,它是让化疗药物可以打进去的作用(手术前后大约2小时,爸爸出来没有觉得很鸡受),之后就开始了动脉化疗的治疗,说实在的,我们心里也没有抱着多大的希望能恢复以往,但开始打化疗后,爸爸并不觉得打化疗非常的不舒服,至少第一步,我们安心许多,(如
果是传统化疗的副作用,我们担心爸爸身体是否能负荷),我们积极的和医生配合,林成龙医师非常专业又nice 的医师,常常鼓励爸爸,爸爸在这3-4个月的治疗,状况越来越好,肿瘤也几乎消了,体力也变好,更重要的是我看到爸爸久违的笑容,这是我最欣慰的事⋯人生没有比父母亲在身旁最幸福的事!真的很感谢林成龙医师、吴志峰医师,高雄及台北的理长和常常给爸爸鼓励亲切的Maggie理师〜
见证人 : 季凡
